Die Duke-Truppe definiert diejenigen Mikroorganismen, die das Herz ganz besonders lieben sehr präzise: Viridans-Streptokokken, Streptococcus gallolyticus, die HACEK-Organismen, Staphylococcus aureus und ambulant erworbene Enterokokken (ohne alternativen Fokus) und noch ein paar andere. Diese Erreger haben es geschafft, ihr wiederholter Nachweis im Blutstrom ist als Majorkriterium geadelt. Die Beschreibung der Herzen, die von Mikroorganismen besonders geliebt werden, bleibt hingegen vage. Die Duke Kriterien verbannen die »Predisposing Heart Condition« in die Minorkriterienspalte des Kriterienkatalogs und sie belassen es bei diesem nebulösen Begriff ohne genau zu benennen, was damit gemeint ist.
Martin Thornhill und seine Kolleginnen und Kollegen füllen mit einer, den Lesenden hier sehr ans Herz gelegten Arbeit, diese Leerstelle [2]. Sie benennt und beziffert die relative Chance (deutsch für »Odds Ratio« (OR)) auf eine infektiöse Endokarditis bei verschieden »Predisposing Heart Conditions«. Die größte Chance auf eine infektiöse Endokarditis haben Menschen, die bereits zuvor eine infektiöse Endokarditis durchgemacht hatten und zwar mit einer sensationell hohen OR von 265,5 (95%CI 244,2-288,2). Die relative Chance nach Klappenersatz eine infektiöse Endokarditis zu entwickeln beträgt immerhin noch 70,1 (65,8-74,7) [2]. Im Klartext: Das Herz, das schon einmal infiziert war, ist extrem vulnerabel für eine erneute Infektion. Aber auch das Herz, das mit einer neuen Klappe ausgestattet wurde, ist siebzigmal anfälliger als das normale Herz. Die Inzidenzrate einer infektiösen Endokarditis nach Ersatz der Aortenklappe liegt unabhängig vom Verfahren bei 1-2%/Jahr [3]. Sie sollten also damit rechnen.
Staphylococcus aureus und koagulase negative Staphylokokken infizieren gerne frisch implantierte Klappen. Das verwundert nicht weiter, da S. aureus ohnehin alle Strukturen des Körpers attackiert und S. epidermidis und seine Brüder sich bekanntermaßen zu Fremdmaterialien jeglicher Art hingezogen fühlen.
Jetzt aber wird es interessant: In einer riesigen retrospektiven Studie aus den USA gingen 20,5% der frühen Infektionen bei 29.306 Patientinnen und Patienten nach »kathetergestütztem perkutanen Aortenklappenersatz« (TAVI) auf das Konto von Enterokokken. Der Winner waren in dieser Studie Stretptokokken mit fast 30%, gefolgt von S. aureus mit 22,4% [4]. In einer anderen, aus Schweden stammenden Analyse mit 4.336 Menschen nach TAVI waren 20,4% der Endokarditisfälle auf Enterokokken zurückzuführen [5]. Eine Auswertung der bis dato vorhandenen Literatur zu diesem Thema kommt zur Schlussfolgerung, dass eine TAVI-Endokarditis besonders häufig – mit bis zu 60% – durch Enterokokken verursacht wird [3]. Ausgerechnet Enterokokken, eine Spezies, die bei Nativklappen eher eine Nebenrolle im niedrig einstelligen Bereich spielt.
Mit einem Freund, einem „Aficionado« der Infektiologie, den ich hier Martin nenne – obwohl wir nicht per Du sind – habe ich das Thema dieses Infektoskops diskutiert. Mit seiner Frage, ob wir eine TAVI nicht einfach als einen x-beliebigen Fremdkörper im Blutstrom betrachten sollten, hat er mich stutzig gemacht und zu folgenden Zuspitzungen inspiriert: »Nicht alle endovaskulären Fremdkörper sind gleich« und »Enterokokken lieben TAVIs«. Kabel sind anders als Stents und die wiederum sind anders als Klappen.
Die meisten Infektionen nach Aortenklappenersatz treten innerhalb des ersten Jahres nach der Prozedur auf [3]. Das spricht nicht notwendigerweise dafür, dass während der Implantation geschlampt wurde. Nein, denn es dauert ungefähr ein Jahr bis die Klappe eingeheilt und der Rand vollständig endothelialisiert ist.
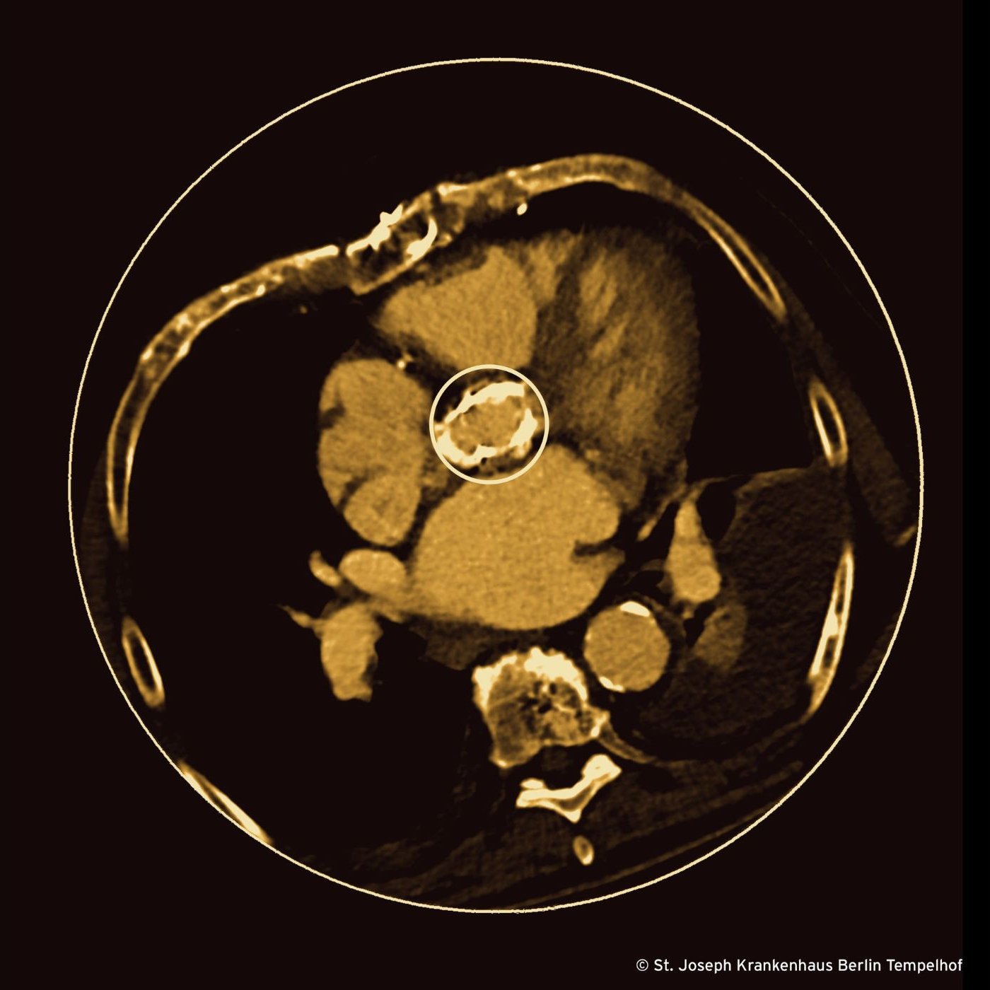
Eine Klappe ist wie eine Dornenkrone im Fleisch des Herzens. Ihre Stacheln bohren sich durch die Gleitschicht des Gefäßsystems, sie verursachen Verletzungen, die die Gerinnungskaskade aktivieren. Am Rande jeder Klappe, dort wo die Strömung turbulent ist, können sich am traumatisierten Endothel sterile Vegetationen aus Fibrin und Blutplättchen bilden, welche wiederum ein gefundenes Fressen für temporär im Blutstrom treibende Bakterien sind. Warum also ausgerechnet Enterokokken, Bakterien, denen man eigentlich nicht so viel zutraut?
Die Population, für die eine TAVI in Frage kommt, ist definiert durch ihr hohes Alter und viele Komorbiditäten, und jetzt spekulieren wir mal drauf los: Das Risiko für eine Enterokokkenbakteriämie ist assoziiert mit dem Vorhandensein von kolorektalen Adenomen und Karzinomen [6], deren Prävalenz wiederum in dieser Patientgruppe recht hoch sein sollte.
Der Fortschritt der Medizin bietet mitunter einigen Mikroorganismen, die noch während unseres Studiums eine Nebenrolle gespielt haben, eine Bühne für einen überraschend großen Auftritt. Die Enterokokke kommt wegen der immer zahlreicher unter uns lebenden Menschen mit Klappenersatz gerade groß raus und entwickelt sich zur Primadonna. So sollten wir stets auf Neues gefasst sein und bei jeder Bakteriämie mit E. faecalis an eine TAVI und bei jeder TAVI mit Zeichen und Symptomen einer Infektion an E. faecalis denken. Dem naheliegenden Gedanken der Urosepsis widerstehen ist das Gebot der Stunde. Flexibel bleiben und dazu lernen: Das gilt nicht nur für Mikroorganismen, sondern auch für uns Ärztinnen und Ärzte.
Dr. med. Hartmut Stocker
Facharzt für Innere Medizin, ZB Infektiologie
Chefarzt der Klinik für Infektiologie und HIV-Medizin
Literatur:
- Li JS, Sexton DJ, Mick N, Nettles R, Fowler VG, Jr., Ryan T, Bashore T, Corey GR: Proposed modifications to the Duke criteria for the diagnosis of infective endocarditis. Clin Infect Dis 2000, 30(4):633-638.
- Thornhill MH, Jones S, Prendergast B, Baddour LM, Chambers JB, Lockhart PB, Dayer MJ: Quantifying infective endocarditis risk in patients with predisposing cardiac conditions. Eur Heart J 2018, 39(7):586-595.
- Østergaard L, Lauridsen TK, Iversen K, Bundgaard H, Søndergaard L, Ihlemann N, Moser C, Fosbøl E: Infective endocarditis in patients who have undergone transcatheter aortic valve implantation: a review. Clin Microbiol Infect 2020, 26(8):999-1007.
- Kolte D, Goldsweig A, Kennedy KF, Abbott JD, Gordon PC, Sellke FW, Ehsan A, Sodha N, Sharaf BL, Aronow HD: Comparison of Incidence, Predictors, and Outcomes of Early Infective Endocarditis after Transcatheter Aortic Valve Implantation Versus Surgical Aortic Valve Replacement in the United States. The American journal of cardiology 2018, 122(12):2112-2119.
- Bjursten H, Rasmussen M, Nozohoor S, Götberg M, Olaison L, Rück A, Ragnarsson S: Infective endocarditis after transcatheter aortic valve implantation: a nationwide study. Eur Heart J 2019, 40(39):3263-3269.
- Pericàs JM, Ambrosioni J, Muñoz P, de Alarcón A, Kestler M, Mari-Hualde A, Moreno A, Goenaga M, Fariñas MC, Rodríguez-Álvarez R et al: Prevalence of Colorectal Neoplasms Among Patients With Enterococcus faecalis Endocarditis in the GAMES Cohort (2008-2017). Mayo Clinic proceedings 2021, 96(1):132-146.

