1983 wurde erstmals vom Verlust der Körnerzellen in den Kleinhirnen von einzelnen wenigen Patientinnen und Patienten mit klassischer PML berichtet [1]. Offenbar ein seltenes – oder zumindest selten beachtetes – Phänomen, denn es dauerte mehr als 20 Jahre bis dieser Faden wieder aufgenommen werden würde: Igor Koralnik, amerikanischer Neurologe und gewiss einer der Menschen die am tiefsten in die Neuropathologie der HIV-Infektion eingedrungen sind hat 2005 die isolierte Infektion der Körnerzellen mit JCPyV ohne PML-typische Demyelinisierung in der weißen Substanz als eigenständiges Krankheitsbild verstanden und ihm den Namen »JC virus granule cell neuronopathy« gegeben [2].
Und genau das hatte unsere Patientin.
Und wie es so ist, sobald die Schuppen von den Augen gefallen waren folgten Berichte über den Nachweis von JCPyV in Pyramidenzellen der Großhirnrinde (JCPyV Enzephalitis) und in leptomeningealen Zellen (JCPyV Meningitis). »Novel syndromes associated with JC virus infection of neurons and meningeal cells: no longer a gray area« ist ein lesenswertes Review aus dem Hause Koralnik das vom Gestalt-Annehmen unseres Verständnisses dieser Krankheitsbilder erzählt [3].
Welche praxisrelevante Botschaft sollten wir davon behalten?
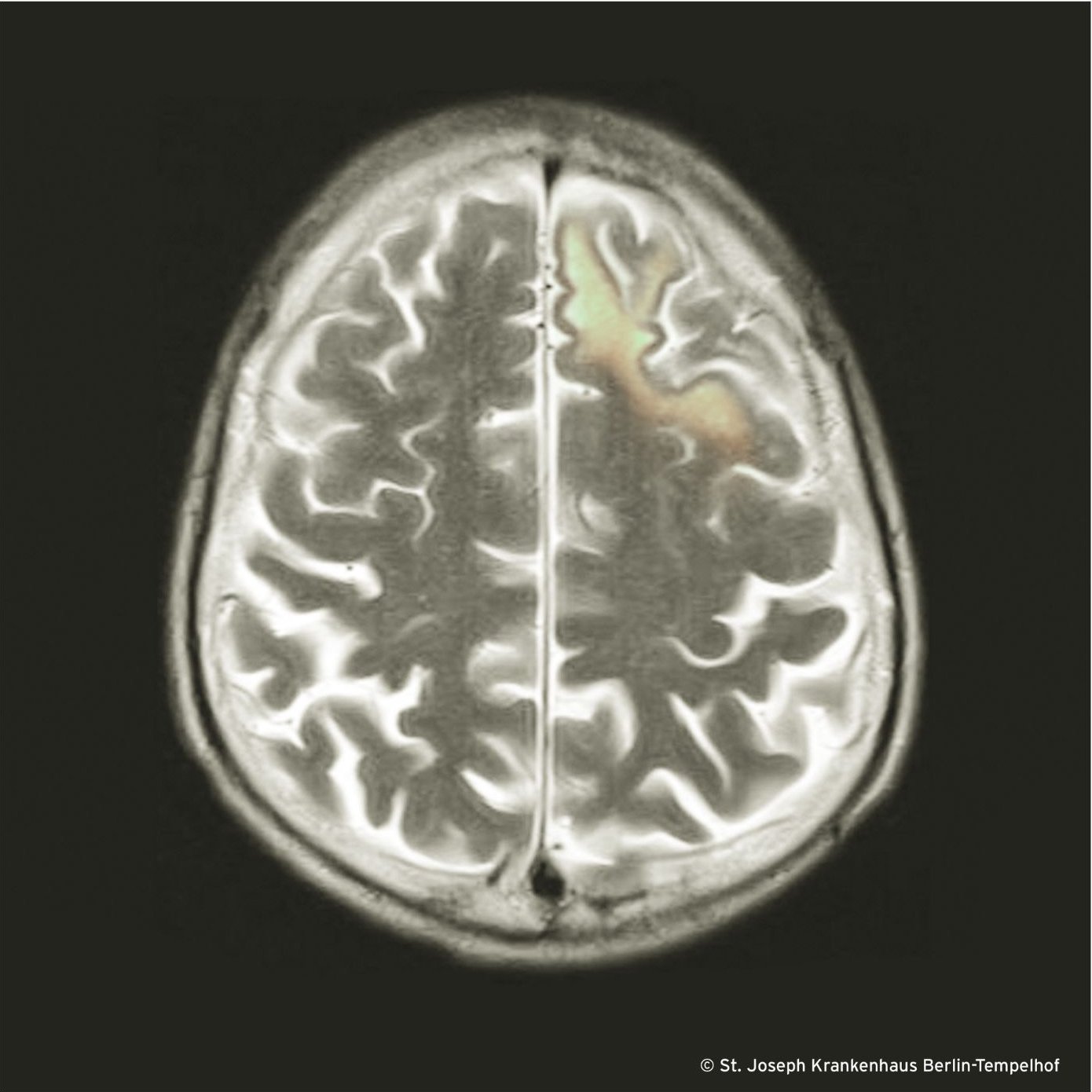
Nicht jede JCPyV-Infektion sieht so aus wie die klassische PML auf unserem Bild mit asymmmetrischen (multifokalen) subkortikal lokalisierten T2-Hyperintensitäten ohne Hinweise auf Oedem, Raumforderung und (in aller Regel) ohne Kontrastmittelanreicherung.
- Jede unerklärte Kleinhirnsymptomatik bzw. Kleinhirnatrophie bei Patientinnen und Patienten mit schlecht behandelter HIV-Infektion oder mit Natalizumab-, Ocrelizumab- oder Rituximab- Therapie sollte an eine JCPyV-Infektion denken lassen.
- Ganz selten verbirgt sich - auch bei immungesunden Menschen - hinter einer Enzephalitis oder Meningitis eine JCPyV Infektion.
Hier noch ein paar Sätze zur Therapie: In den vergangenen 20 Jahren haben wir mit allen möglichen Virostatika versucht, das gnadenlose Fortschreiten der PML aufzuhalten. Eine der vielen kurzzeitig gehypten Substanzen war Cidofovir, ein Cytidin-Analogon, das für die Therapie von CMV-Infektionen zugelassen wurde und in diesem Indikationsgebiet auch heute noch einen -wenn auch exotischen- Stellenwert besitzt. Die Applikation der Substanz beschäftigte uns Behandelnde einen ganzen Tag lang, den Patientinnen und Patienten mit PML bescherte sie aber nur unerwünschte Wirkungen wie Nierenversagen und okuläre Komplikationen. Cidofovir-Ernüchterung folgte und das Muster wiederholte sich mit anderen antiviralen Substanzen.
Wenn das Virus schon nicht direkt angegangen werden kann, so sollte man wenigstens versuchen, das geschwächte Immunsystem wieder in Stellung zu bringen. Das ist die Idee, die seit 2019 ein wenig Hoffnung bringt. Der Immuncheckpoint-Inhibitor Pembrolizumab ist bei einer Hand von Menschen mit HIV-Infektion multipler Sklerose und Nierentransplantation zur Therapie der klassischen PML eingesetzt worden [4-6]. Zum Teil mit Erfolg. Wir haben auf diese Berichte hin zwei Menschen mit PML mit Pembrolizumab behandelt und damit in einem Fall die Infektion stoppen können. Unsere Patientin vom letzten Infektoskop hat leider nicht von dieser Therapie profitiert. Es bleibt dennoch die Hoffnung, dass die Forschung auf diesem Wege weitergeht.
Dr. Hartmut Stocker
Facharzt für Innere Medizin, Infektiologie
Chefarzt der Klinik für Infektiologie und HIV-Medizin
Literatur:
- Richardson EP, Jr., Webster HD: Progressive multifocal leukoencephalopathy: its pathological features. Progress in clinical and biological research 1983, 105:191-203.
- Koralnik IJ, Wüthrich C, Dang X, Rottnek M, Gurtman A, Simpson D, Morgello S: JC virus granule cell neuronopathy: A novel clinical syndrome distinct from progressive multifocal leukoencephalopathy. Annals of neurology 2005, 57(4):576-580.
- Miskin DP, Koralnik IJ: Novel syndromes associated with JC virus infection of neurons and meningeal cells: no longer a gray area. Current opinion in neurology 2015, 28(3):288-294.
- Cortese I, Muranski P, Enose-Akahata Y, Ha SK, Smith B, Monaco M, Ryschkewitsch C, Major EO, Ohayon J, Schindler MK et al: Pembrolizumab Treatment for Progressive Multifocal Leukoencephalopathy. The New England journal of medicine 2019, 380(17):1597-1605.
- Rauer S, Marks R, Urbach H, Warnatz K, Nath A, Holland S, Weiller C, Grimbacher B: Treatment of Progressive Multifocal Leukoencephalopathy with Pembrolizumab. The New England journal of medicine 2019, 380(17):1676-1677.
- Holmes A, Wellings T, Walsh O, Rowlings P: Progressive multifocal leukoencephalopathy associated with a lymphoproliferative disorder treated with pembrolizumab. Journal of neurovirology 2020, 26(6):961-963.

