Anders als eine Infektion mit SARS-CoV-2 schleicht sich eine PcP langsam an und verursacht –allmählich und kaum spürbar – Gewichtsverlust und eine Verschlechterung des Allgemeinzustandes. Fragen nach Luftnot werden von Patient*innen mit PcP selbst bei schwerer Hypoxämie häufig verneint. Auch der in Lehrbüchern betonte trockene Husten fehlt in der Realität auffallend oft; er kann aber durch tiefes Atmen bei der Auskultation provoziert werden. Verlassen kann man sich darauf, dass zwischen dem Beginn der Erkrankung und der Diagnosestellung zahlreiche Kontakte zu Einrichtungen des Gesundheitssystems stehen und viele Gelegenheiten, die HIV-Infektion zu diagnostizieren, ungenutzt blieben. Patient*innen mit PcP werden fast regelhaft wiederholt „probatorisch“ antibiotisch behandelt, natürlich ohne Erfolg.
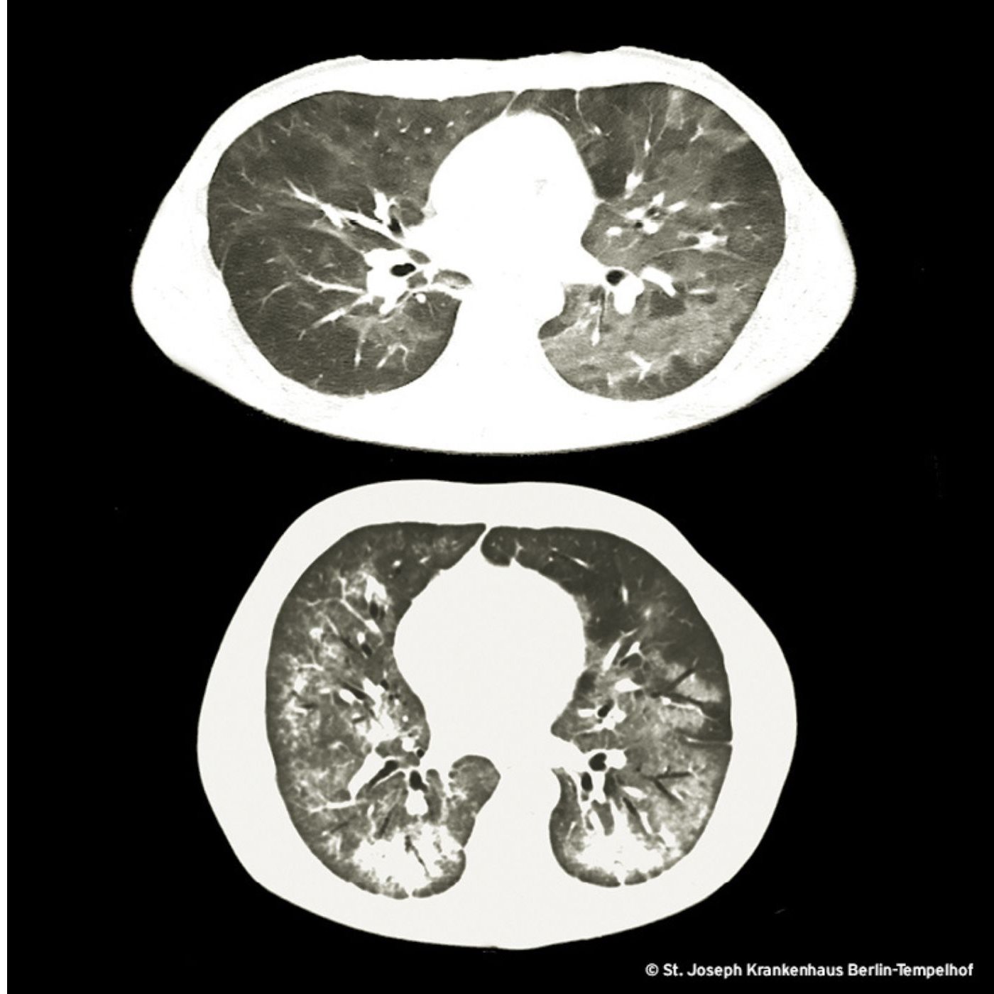
Die pulmonale Auskultation ist bei der PcP unauffällig (genauso wie das konventionelle Thoraxbild welches in ca. 30% der Fälle als normal befundet wird). Soorstomatitis und Sooroesophagitis sind regelmäßige Begleiter der PcP und gleichzeitig starke HIV-Indikatoren, weshalb sie bei Patient*innen mit Fieber, Gewichtsverlust, Leistungsminderung mit oder ohne Lutfnot und Husten die Alarmglocken erklingen lassen müssen.
Seinen Beinamen hat Pneumocystis in Erinnerung an den tschechischen Parasitologen Otto Jírovec erhalten, der die PcP 1952 bei „schwachen und unterernährten Neugeborenen“ beschrieben hat. Der Organismus war lange zuvor in Brasilien von Carlos Chagas entdeckt worden, der ihn aber für eine Zwischenstufe im Lebenszyklus seiner geliebten Trypanosomen hielt. Antonio Carini, ein in São Paulo arbeitender italienischer Bakteriologe, hatte Zweifel und schickte Proben ans Institut Pasteur nach Paris, wo man den Organismus als eigenständige Spezies klassifizierte und sie zu Ehren des Einsenders Pneumocystis carinii taufte. Als klar wurde, dass die humanpathogenen Pneumocysten eine von P. carinii abgrenzbare Spezies sind, kam Otto Jírovec ins Spiel. Warum schreibt man jirovecii mit zwei „i“? Das hat mit der Tatsache zu tun, dass Pneumocysten als Pilze den Regeln der botanischen Nomenklatur unterworfen sind. Anders als in der zoologischen Nomenklatur schreibt das Regelwerk der Pflanzen bei Beinamen, die auf einen Konsonanten enden, ein -i- als Augment des Wortstammes und ein weiteres -i- als Genitivendung vor. Unberührt von der Änderung des Beinamens behielt die Abkürzung für die Pneumocystis Pneumonie PcP ihre Gültigkeit.
Dr. med. Michael Nürnberg
Assistenzarzt in Weiterbildung
Klinik für Infektiologie

