Die weiteren Untersuchungen (Magen- und Darmspiegelung, Ultraschall der Schilddrüse, TEE, Blutkulturen, Autoimmundiagnostik) verbleiben ohne wegweisende Befunde. Im Verlauf der folgenden drei Wochen verschlechtert sich der klinische Zustand des Patienten allmählich, mit zunehmender Schwäche, persistierendem Fieber (ganztäglich), ausgeprägten Knochenschmerzen (Oberarm, Tibiakante links, Schulterblatt links) und steigendem CrP (110mg/l).
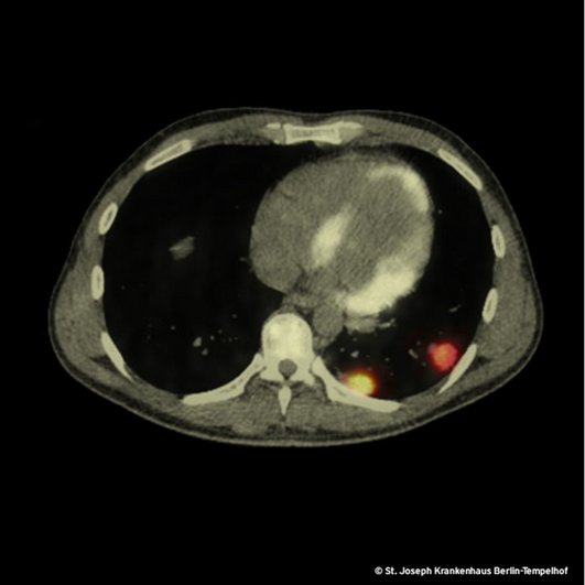
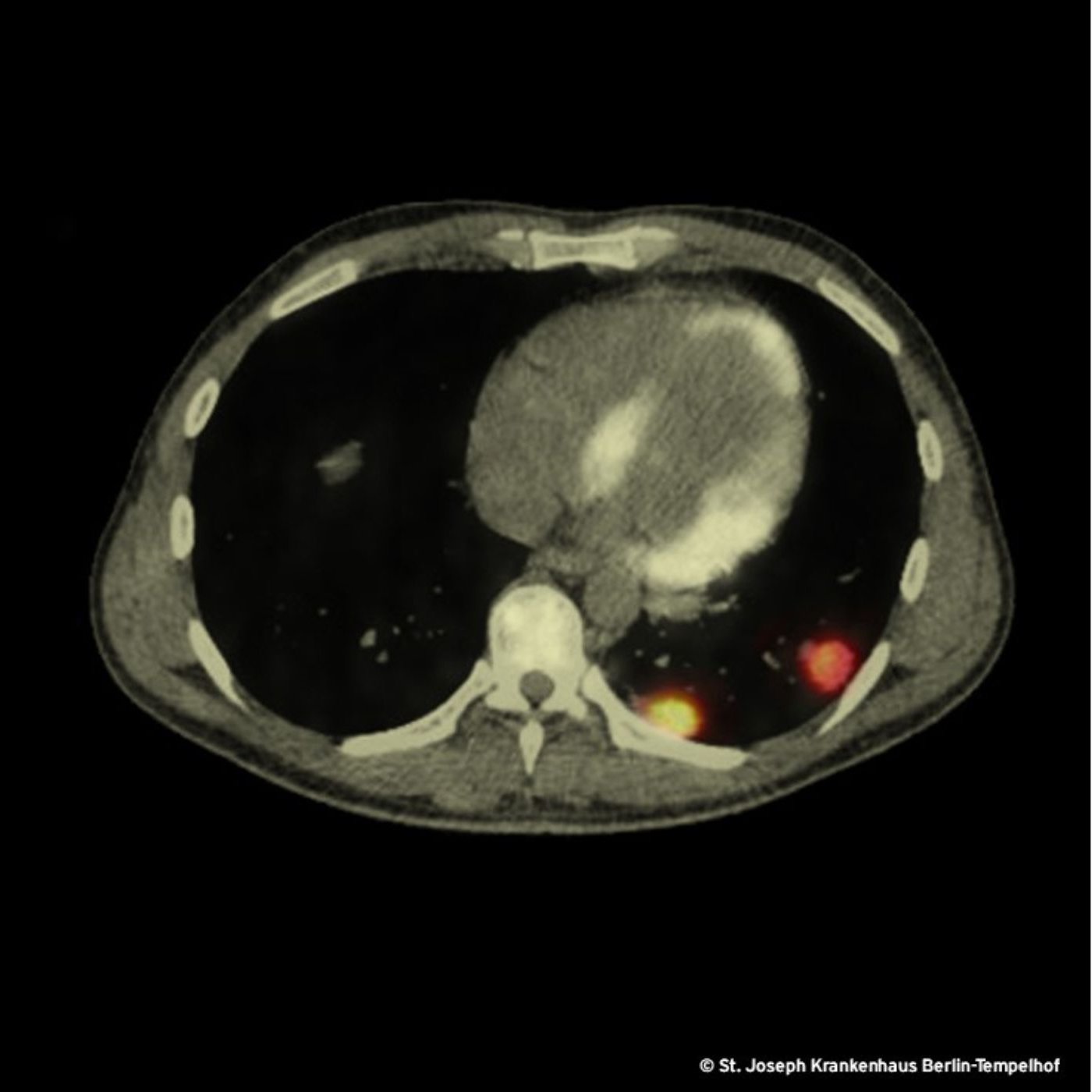
Der Verdacht auf eine maligne Erkrankung treibt uns zu einem PET-CT, welches 3 Wochen nach der Erstvorstellung eine schockierende Größenprogredienz der pulmonalen und vertebralen Läsionen enthüllt. Der Radiologe fällt das Urteil: bösartige hämatologische Systemerkrankung. Das Bild zeigt zwei der fünf pulmonalen Herde, die im PET-CT hohe Stoffwechselaktivität aufweisen.
Im nächsten Infektoskop berichten wir von der überraschenden Wendung dieses Falles und einem Happy End – Bleiben Sie gespannt!
Dr. med. Michael Nürnberg
Assistenzarzt in Weiterbildung
Klinik für Infektiologie und HIV-Onkologie

